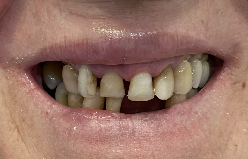
Recupere o seu sorriso em apenas 24 Horas!
Para toda a vida.
- Resultado natural.
- Recuperação rápida e eficaz.
- Sem dor. Sem desconforto.
- 98% de Taxa de sucesso.
Recupere o seu sorriso em apenas 24 Horas!
Para toda a vida.
- Resultado natural.
- Recuperação rápida e eficaz.
- Sem dor. Sem desconforto.
- 98% de Taxa de sucesso.
Recuperar o seu sorriso com All-on-Four é mais do que fazer um procedimento dentário. É a chave para voltar a sorrir sem preocupações.
Com o All-on-Four, a confiança e a alegria em sorrir estão ao seu alcance.
vidas transformadas.
M. Alves
All-On-Four
M. Alves
All-On-Four
N. Newell
Via Reviews do Facebook

No meu primeiro dia em Portugal, parti um implante. A Dra. Rosana Reis tinha saído, porque já era tarde, mas falou comigo ao telefone e ofereceu-se para voltar à clínica.
Desde então, os meus dentes foram limpos, o implante partido foi removido, tive consultas sobre tratamentos e um tratamento de canal. Estou ansiosa por ver a Dra. Rosana Reis e a sua equipa simpática e prestável!
S. Guedes
Via Google My Business

Eu voltei a sorrir com a ajuda da Dra. Rosana. Excelente profissional. Sempre a pensar no bem estar dos clientes. Recomendo vivamente. Atendimento, localização e profissionais de primeira. Pode confiar!
L. Guerra
Via Google My Business

Ambiente organizado, limpeza impecável, profissionais atenciosos, dedicados e disponíveis. Consulto regularmente com a Dra Rosana e a minha miúda com a Dra. Helena. Recomendo fortemente. Nota máxima!
Olá! Sou a Dra. Rosana, especialista em implantologia desde 2007.
Olá! Sou a Dra. Rosana, especialista em implantologia desde 2007.
Esclareça as suas dúvidas e dê o primeiro passo para um sorriso renovado.
Estamos aqui!
R. Prof. Joaquim Bastos 54, 4200-604 Porto
- ● Perto da A41, A3, e Circunvalação.
- ● A 20 min do aeroporto.